I nostri trattamenti

Il nostro approccio alle cure odontoiatriche si basa su un principio semplice: massima precisione, minima invasività. A Fondi, integriamo l'esperienza clinica con le più avanzate tecnologie digitali per garantire terapie più sicure, rapide e confortevoli. Non curiamo solo il dente, ma il benessere globale della persona.

Le nostre tecnologie per la tua salute

  • 🔬 Microscopio Operatorio (Precisione Estrema): Utilizziamo da anni ormai ingrandimenti elevati per trattare solo la parte danneggiata del dente, preservando il tessuto sano. Questo significa cure più durature e meno recidive.

  • 📸 Scanner Intraorale 3D (Addio pasta per le impronte): Rileviamo l'impronta della tua bocca con una telecamera digitale in pochi secondi. Niente più fastidio, conati di vomito o materiali ingombranti in bocca.

  • 💡 Diagnocam (Diagnosi senza Raggi X): Grazie alla transilluminazione, possiamo individuare carie nascoste senza utilizzare radiazioni. Una tecnologia sicura al 100%, ideale per bambini e donne in gravidanza.

  • 🖥️ TAC CBCT (Radiografia 3D): Quando serve vedere oltre, eseguiamo radiografie tridimensionali a bassissimo dosaggio direttamente in studio, per una pianificazione implantare sicura e immediata.

Strategie di cura personalizzate

Non crediamo nei protocolli standard. Ogni paziente riceve un piano di trattamento individualizzato basato su tre pilastri:

  1. Ascolto: Capiamo le tue esigenze e paure.

  2. Diagnosi Digitale: Usiamo i dati per non lasciare nulla al caso.

  3. Benessere Olistico: Risolviamo il problema dentale considerando l'impatto sulla salute generale del corpo.

Domande Frequenti sulle nostre cure

Fa male curare una carie col microscopio? No. L'uso del microscopio ci permette di essere estremamente delicati e precisi, riducendo il trauma sui tessuti e spesso eliminando il dolore post-operatorio.

Posso fare una visita se sono incinta? Assolutamente sì. Utilizziamo la tecnologia Diagnocam che permette di controllare la salute dei denti senza emettere raggi X, garantendo totale sicurezza per mamma e bambino.

Come prendete le impronte dentali? Nello Studio Mattei a Fondi abbiamo eliminato la pasta tradizionale. Usiamo uno scanner digitale che è veloce, preciso e molto più confortevole per il paziente.

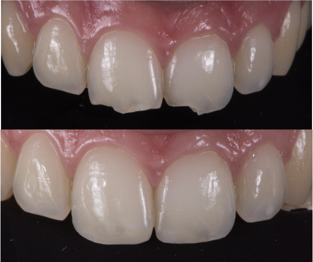
Esempio di odontoiatria restaurativa con ricostruzione invisibile del dente in composito biomimetico.

Odontoiatria Restaurativa

Puntiamo su tecnologie 3D e mininvasività per offrirti cure più precise, rapide e confortevoli. Non semplici interventi, ma percorsi di salute su misura che uniscono l'estetica del sorriso al benessere globale della persona. Scopri come l'innovazione digitale trasforma la tua esperienza dal dentista.

Scopri di più

Gnatologia e odontoiatria neuromuscolare

Molti pazienti non sanno che mal di testa ricorrenti, dolori cervicali e problemi di postura nascono spesso proprio dalla bocca. La Gnatologia e l'odontoiatria neuromuscolare studiano questo legame invisibile: se i denti o l'articolazione della mandibola (ATM) non lavorano in equilibrio, i muscoli di collo e spalle si irrigidiscono per compensare. Il nostro obiettivo è individuare queste tensioni nascoste e correggerle alla radice, restituendo benessere non solo al sorriso, ma a tutto l'organismo.

Scopri di più

Una foto di un uomo senza volto, Impianto Dentale, Studio Odontoiatrico Mattei, Fondi, Italia
Dettaglio di un allineatore dentale trasparente e rimovibile, l'alternativa invisibile al classico apparecchio metallico per allineare il sorriso.

Ortodonzia

Dimentica i vecchi apparecchi scomodi. Oggi l'Ortodonzia offre soluzioni moderne come gli allineatori invisibili (trasparenti e rimovibili, ideali per gli adulti) e terapie intercettive per i bambini. Individuare precocemente un problema di crescita o masticazione ci permette di correggerlo in modo dolce, veloce e meno invasivo, garantendo un sorriso allineato e funzionale a ogni età.

Scopri di più

progettazione digitale 3D per inserimento impianti dentali in sicurezza. Si vede il tracciato del nervo mandibolare (in rosso) per evitare rischi chirurgici durante l'intervento.

Implantologia

Perdere un dente non è più definitivo. L'Implantologia ci permette di sostituire gli elementi mancanti con radici in titanio, restituendoti la sensazione e la stabilità dei tuoi denti naturali. La sicurezza viene prima di tutto: grazie alla TAC 3D in sede e alla chirurgia computer-guidata, valutiamo attentamente la qualità dell'osso per garantirti un intervento fattibile, sicuro e mininvasivo, evitando rischi e sorprese.

Scopri di più

una foto in bianco e nero di anziani che fanno una passeggiata, Impianto Dentale, Studio Odontoiatrico Mattei, Fondi, Italia

Gerodonzia

La Gerodontoiatria è la branca che si dedica alla salute orale nella terza età, una fase della vita in cui la bocca richiede attenzioni specifiche e delicatezza. Il nostro obiettivo è restituire capacità masticatoria e dignità al sorriso dell'anziano, gestendo con cura protesi mobili o fisse per garantire il massimo comfort. Sappiamo che la cura non finisce in studio: un pilastro del nostro metodo è l'educazione dei familiari e dei caregiver, ai quali insegniamo le manovre corrette di igiene quotidiana per prevenire infiammazioni e mantenere la salute del paziente anche a casa.

Odontoiatria pediatrica

Dentista dello Studio Mattei mostra a un bambino la scansione 3D della sua bocca su un monitor touch, spiegando l'igiene orale in modo divertente grazie allo scanner intraorale.

La salute orale inizia prima ancora del primo dentino. La nostra Pedodonzia è pensata per accogliere i piccoli pazienti in un ambiente sereno e senza paura, trasformando la visita in un gioco. Puntiamo tutto sulla prevenzione: sigillature dei solchi e fluoroprofilassi sono le armi migliori per evitare cure invasive in futuro. Inoltre, siamo tra i pochi a utilizzare la tecnologia Diagnocam, che ci permette di controllare la presenza di carie senza sottoporre tuo figlio a raggi X, garantendo diagnosi sicure al 100% e zero radiazioni.

Scopri di più

Contattaci